Hogyan készül az ultrahang lelet?
Hogyan készül az ultrahang lelet?
Alapvető tudnivalók
Hasi ultrahang vizsgálat során elsősorban a parenchimás szerveket tudjuk vizsgálni. Az ultrahang szempontjából parenchimás szerveknek nevezzük az olyan szerveket amelyek "tömörek" mint például:
- Máj
- Lép
- Hasnyálmirigy
- Vesék
Az ultrahanggal szintén kiválóan vizsgálhatóak az olyan szervek vagy eltérések amelyek folyadéktartalmúak, mint:
- Húgyhólyag
- Epehólyag
- Ciszták
- Ciszta szerű elváltozások
Az olyan szervek amik levegőt, vagy valamilyen gázt esetleg szilárd anyagot tartalmaznak nem, vagy csak jelentősen korlátozottan vizsgálhatóak. Ilyenek például:
- Belek
- Gyomor
- Csontok
Bizonyos mértékig ezek is vizsgálhatóak, azonban ezek megítélése nem elsősorban az ultrahang feladata. Ennek az ultrahang működési elve az oka.
Az ultrahang lelet elkészítése
A radiológus a szervek vizsgálata során nézi azok méretét, alakját, szerkezetét és elhelyezkedését. A szervek normális megjelenésének ismerete elengedhetetlen ahhoz, hogy felismerjük az egyes betegségeket. Ezeket az ismereteket minden ultrahangos szakember elsajátítja a szakképzése során és ezalatt az idő alatt kellő gyakorlatot szerez ezek magabiztos mindennapi alkalmazásához.
Ultrahang berendezés
Az ultrahang berendezés egyik legfontosabb része amely laikusok számára is érdekes lehet a vizsgáló fej, vagyis transducer. A vizsgáló fejek többféle formájúak és különböző frekvenciájúak lehetnek. A szakember attól függően választja ki a vizsgáló fejet, hogy milyen régiót vagy szervet szeretne vizsgálni, hogy milyen mélységben helyezkedik el a szerv, vagy kíván-e valamilyen funkciót is vizsgálni, mint például az erekben az áramlás.
Ultrahangos képek és echogeneitás
Alap vizsgálatok során úgynevezett szürkeskálás képet látunk. Az egyes szervek a szürke valamelyik árnyalatában jelennek meg, mely bizonyos határokon belül jellemző az adott szervre. A vizsgálat során a páciens sokszor hallhatja, vagy az ultrahang leletben olvashatja az echogenitás kifejezést, ezt a radiológus a vizsgált struktúra jellemzésére használja. Ha valami hyperechogén-ként van jellemezve akkor az a szürke skálán inkább a fehérebb, ha hypoechogén-ként akkor sötétebb megjelenésű.
Bélgáz

A kép bal oldalán piros nyíllal jelölve látjuk a májat, mellette figyelhető meg egy bélszakasz (sárga nyíl) ami mögött függönyszerűen terül el az úgynevezett hangárnyék (kék nyíl) ami kitakarja a mögötte lévő szerveket. Ezt a hangárnyékot a belekben lévő bélgáz okozza, ami műterméket okoz az ultrahang képeken.
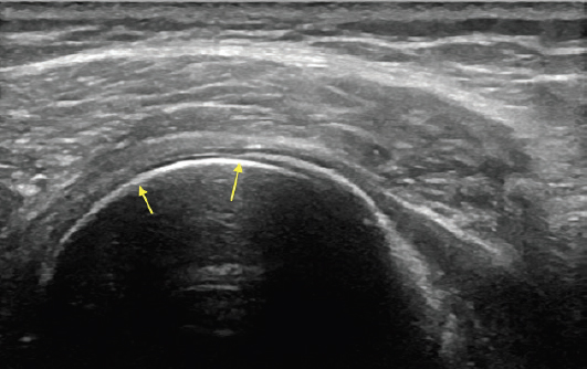
Csont

Az előzőekhez hasonlóan az ultrahang a csontos struktúrákon sem tud áthatolni. A képen kis nyilak jelölik a csont határait, ami mögött a kép sötétté válik, mivel innen nem jut vissza információ az ultrahang fejhez.
Transducerek

Ezen a képen a példákat láthatunk a különböző ultrahang fej formákra. Ezek nem csak formájukban hanem a kibocsátott ultrahang frekvenciájában és hullámhosszában is különböznek. A formájuk, méretük és a fent említett frekvenciájuk határozza meg, hogy mekkora területet tudunk vizsgálni, milyen mélységben és milyen felbontással.
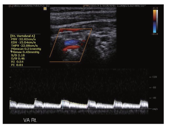
Funkcionális vizsgálat

A képen az artéria vertebralis vizsgálatát láthatjuk, ami a nyaki verőerek egyike. Color doppler vizsgálat során az áramlásról színkódolva kapunk információt. Alatta az úgynevezett áramlási görbét láthatjuk. Ilyen vizsgálat során az áramlási sebességek számszerű mérésére is van lehetőség.
Az érnek csak kis szakaszát láthatjuk, és mellettük sötét megjelenésű területek vannak. Ez azért van mert, ezek az erek a csigolyák harántnyúlványai által képzett csontos csatornában futnak. A csatorna nem teljesen zárt, így az ér a két csigolya közötti térben vizsgálható. Jó példa ez a kép arra is, hogy a csontos struktúrák hogyan takarják ki a mögöttük lévő képleteket.
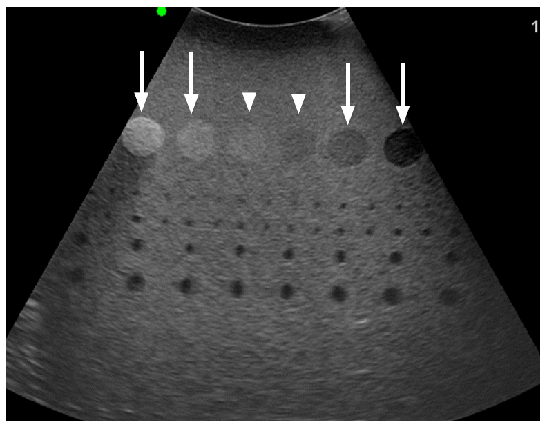
Szürkeskálás kép

Ezen a képen egy modellen láthatjuk a szürkeskála szemléltetését. Egyöntetű szürke háttéren láthatunk különböző árnyalatú kerek foltokat, melyek a világosabb felől a sötétebb irányába haladnak. A szürke háttér a viszonyítási alap, úgy ahogy a valós vizsgálat során, a vizsgált szerv állományának az árnyalata. Az olyan foltok, melyek hasonló árnyalatúak isoechogénként kerülnek leírásra, amelyek világosabbak hyperechogének és amik sötétebbek hypoechogének.
Echodús

A képen a májat láthatjuk, amin belül egy kerek világosabb eltérés van (fehér nyíl). Ez egy haemangioma ami a máj alapállományához képest hyperechogén megjelenésű.
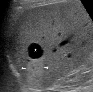
Echoszegény

Ezen a képen szintén a májat láthatjuk, melyen belül egy kifejezetten sötét kerekded eltérést azonosíthatunk (csillag). Ez a máj alapállományához képest hypoechogén megjelenésű. Mögötte a nyilakkal jelölt világosabb terület úgynevezett hangerősítés. Ez bizonyos esetekben segítheti a vizsgáló orvosnak a cisztát egyéb, echoszegény struktúráktól elkülöníteni.