Hasnyálmirigy ultrahang
A hasnyálmirigy általában jól vizsgálható ultrahanggal, azonban a májhoz képes több tényező nehezítheti a szerv megítélésében a vizsgáló orvost.
Ennek egyik oka, hogy a hasnyálmirigy egészen hátul helyezkedik el a hasban. A szervet elfedhetik a vastagbelek vagy akár a gyomor is és az ezekben lévő béltartalom valamint bélgázok. Erről bővebben a hogyan készül az ultrahang lelet című bejegyzésünkben olvashat.
Ezek a korlátozó tényezők csökkenthető azzal, hogy ha a beteg a vizsgálatra éhgyomorra érkezik, illetve a vizsgáló orvos is tud kompressziós technikákat alkalmazni, amivel megpróbálja a vizsgáló fej segítségével a beleket eltolni a hasnyálmirigy elől. Ennek ellenére is előfordulhat, hogy a szerv nem, vagy csak részben vizsgálható.
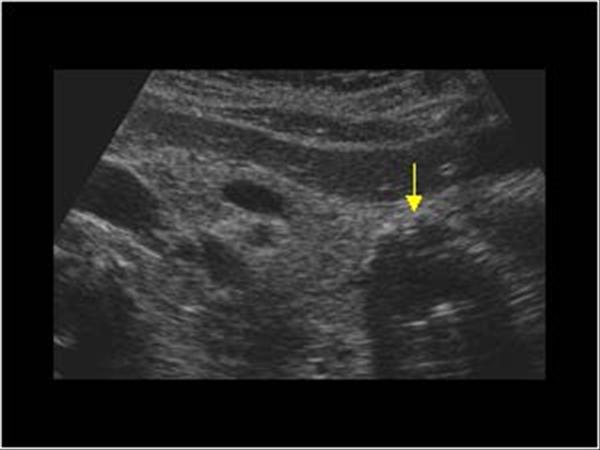
A hasnyálmirigy egy hosszúkás szerv, aminek feje teste és farka van. A farok régió a legnehezebben vizsgálható rész mivel ez egészen mélyen, sokszor a gyomor takarásában helyezkedik el. (1. kép)
A hasnyálmirigy fiatalokban echoszegényebb megjelenést mutat, idősebbekben pedig általában echodúsabb, ami a szerv korral járó zsíros jellegű átépülése miatt alakul ki.
Szerkezeti eltérések a hasnyálmirigyben
A hasnyálmirigy vizsgálatakor az állományban szintén diffúz illetve körülírt eltéréseket keresünk.
Diffúz szerkezeti eltérés alakulhat ki például hasnyálmirigy gyulladás esetében. Akut hasnyálmirigy gyulladás egy sürgősségi ellátást igénylő kórkép, a megállapításában a képalkotó diagnosztika így az ultrahang is csak segítő szerepet tölt be. A diagnózis felállítása elsősorban a beteg tünetei, a fizikális vizsgálatok és a laborvizsgálatok alapján történik. A különböző képalkotók inkább a szövődmények felkutatására és az utánkövetésre használatosak, vagy a kiváltó okok keresésére.
Ilyenkor a hasnyálmirigy kiszélesedik, ls echo szegénnyé válik körülötte folyadék gyülem jelenhet meg, illetve a körülötte lévő zsírszövet oedemássá válik. (2. kép)
Krónikus hasnyálmirigy gyulladás esetén a hasnyálmirigy kiszélesedik durva szerkezetűvé válik, benne meszesedések és cysták jelenhetnek meg. (3. kép)
Ultrahangal vizsgálhatóak még a hasnyálmirigyben körülírt eltérsek, például, daganatok és cysták. A cysták sokszor gyulladások után jelennek meg (4. kép), de előfordulhatnak cystikus megjelenesű daganatok is. Ha nagyon kis méretűek a természetük nem határozható meg.
Az ultrahang vizsgálattal a hasnyálmirigy dagantok sokszor már csak előrehaladott állapotban láthatóak, mikor a daganat távoli terjedést mutat (5. és 6. kép).
Képmagyarázat
1. kép:

Hasnyálmirigy (pancreas)
Ezen az ábrán a hasnyálmirigy elhelyezkedését, az ultrahangos képét valamint egyes részeit láthatjuk.
2. kép:

Akut hasnyálmirigy gyulladás (acut pancreatitis)
Ezeken a képeken több hasnyálmirigy gyulladást láthatunk. A felső (a) képen csillaggal van jelölve a hasnyálmirigy, ami kiszélesedett, echoszegény. Körülötte a nyilak oedemás zsírra mutatnak, ami szintén a gyulladás következménye.
A másik két képen is (b és c) szintén kissé echoszegényebb és kiszélesedettebb hasnyálmirigyet láthatunk amelyek körül folyadék jelent meg, ugyancsak a gyulladás következménye képpen..
3. kép:

Krónikus hasnyálmirigy gyulladás
Kifejezetten szabálytalan megjelenésű hasnyálmirigy, aminek a felszíne egyenetlen és benne rögös meszesedések láthatóak, ami hangárnyékot is ad.
4. kép:

Hasnyálmirigy pseudocysta
Ez az eltérés akut hasnyálmirigy gyulladást követően alakulhat ki. Ezen a képen a farok régióban figyelhető meg a pseudocysta, melyet a sárga nyíl jelez. A falában meszesedések is láthatóak, amit a világos foltok, illetve a cysta mögötti hangárnyék is jelez.
5. és 6. kép:


Hasnyálmirigy daganat
Ezeken a képeken 2 hasnyálmirigy daganatos esetet láthatunk.
Az 5. képen a testben helyezkedik el egy echoszegény terület ami jelzi a daganatot (piros nyilak). A 6. képen a hasnyálmirigy fejben látható egy körülírtabb terület ami a daganatnak felel meg.