A máj és az epehólyag ultrahang vizsgálata
A máj elhelyezkedése és mérete
A máj egy parenchimás szerv, amely kiválóan vizsgálható ultrahanggal. Mint minden szervnél, a radiológus vizsgálja a máj elhelyezkedését, méretét, formáját, kontúrját, illetve a szerkezetét.
A máj normális esetben a jobb oldali bordaív alatt helyezkedik el (1. kép). Ez az esetek 99,99%-ára igaz, egy kis részben előfordulhat olyan állapot, mikor a máj az ellentétes oldalon van. Ez egy igen ritka fejlődési variáció (nem betegség) és általában több szervet is érint.
A máj mérete nehezen megítélhető és sokszor szubjektív módon történik. A vizsgáló orvos általában azt figyeli, hogy a máj alsó pólusa meghaladja-e a jobb vese alsó pólusának szintjét, illetve, hogy a máj széle lekerekített-e. Ha ezeket tapasztalja, felveti a májmegnagyobbodás lehetőségét (2. kép).
A máj kontúrja és szerkezete
A máj határai (kontúrja) sima, az alsó széle "hegyes". Amennyiben ettől eltér, az utalhat valamilyen betegségre. (2. kép) Az előző bekezdésben említettük a májmegnagyobbodást, ilyen esetben a máj alsó széle lekerekítetté válik, ugyanakkor pl. májcirrózis (májzsugor) esetében a felszín szabálytalan lesz. Olyan esetekben mikor a májban valamilyen körülírt elváltozás van, pl. tumor, vagy ciszta és ez a szerv határaihoz közel helyezkedik el, akkor ez szintén előemelheti illetve deformálhatja máj kontúrját.
Normális esetben a máj homogén szerkezetű, vagyis egyöntetű a megjelenése. Benne az avatatlan szem is felfedezhet fekete vonalas képleteket, amelyek az ereknek felelnek meg.
Lehetséges szerkezeti eltérések
A vizsgáló orvos két fajta eltérést keres, az egyik a szerkezet általános, vagy nagyobb területet érintő elváltozása. Ezek az úgynevezett diffúz szerkezeti eltérések. (3. kép) A másik a körülírtabb eltérések, amelyeket fokálisként is szoktunk hívni (4. és 5. kép).
Diffúz szerkezeti eltérés például a zsírosodás vagy a májcirrózis, fokális szerkezeti eltérés lehet például egy haemangioma, ciszta, vagy daganat.
Az epehólyag vizsgálata
A máj vizsgálatával együtt szoktuk végezni az epehólyag vizsgálatát is. Az epehólyag a máj alsó hátsó felszínén helyezkedik el (6. kép). Ennél szervnél, az epével való teltséget, a falvastagságot (7. kép) és az esetleges köveket (8. kép) és azok elhelyezkedését vizsgáljuk, illetve azt, hogy van-e epeúttágulat vagy sem.
Vizsgálat előtt
Fontos, hogy a aki hasi ultrahang vizsgálatra érkezik, az telt epehólyaggal legyen a vizsgálat során, mivel az epehólyag falát így lehet a legjobban megítélni. Ehhez szükséges, hogy a páciens a vizsgálat előtt legalább 6 órával ne étkezzen.
Képmagyarázat
1. kép:

Sematikus ábrán láthatjuk a máj elhelyezkedése a jobb bordaív alatt.
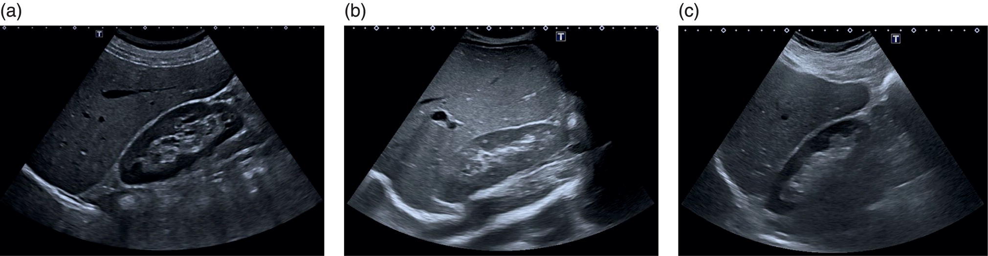
2. kép:

Máj mérete
- (a) Normális méretű és szerkezetű máj melynek alsó széle alig haladja meg a jobb vese alsó szélét. Az echogenitása is nagyon hasonló a veséhez.
- (b) Itt megnagyobbodott májat láthatunk melynek széle túl enyhén ér a vesén illetve nagy mértékben lekerekített és echogenitása fokozott a jobb veséhez képest. Az ok zsírosodás.
- (c) A szokotthoz képest kisebb széle lekerekített szerkezete minimálisan durvább és felszíne egyenetlen. Ennek az oka cirrhosis.
3. kép:

Májcirrózis
A bal oldali képen normális májat láthatunk, míg a jobb oldali képen egy extrém mértékben cirhotikus májra láthatunk egy példát. Megfigyelhetjük, hogy a máj felszíne kifejezetten egyenetlen felette a sötét (fekete) rész folyadék, ami gyakori velejárója az ilyen előrehaladott májzsugorodásnak.
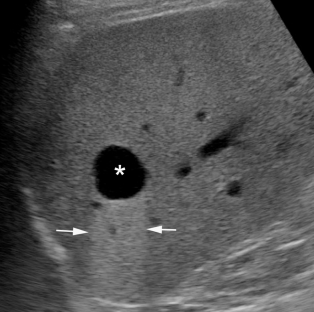
4. és 5. kép:


Példák körülírt elváltozásokra a májban.
4. képen egy cystát míg az 5. képen egy haemangiomát láthatunk. Ezek a leggyakoribb körülírt eltérések a májban.
6. kép:

Sematikus ábrán az epehólyag elhelyezkedését láthatjuk, a máj alsó hátsó felszínén.
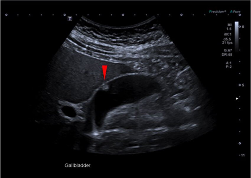
7. kép:

Epehólyag polip.
Epehólyag falának körülírt elváltozása, az epehólyag polip.
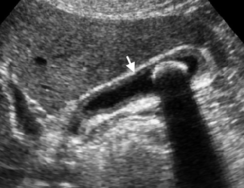
8. kép:

Epekő